News_

AI to assist in the diagnosis of dementia

15 July 2024
iQ-Solutions could pave the way for crucial dementia research
The Sydney Neuroimaging Analysis Centre gets a boost to its artificial intelligence, which will go towards unlocking the secrets of neurological disorders.
Researchers looking at a computer screen with images of brain scans on it

The Government through ANDHealth+, has announced, the Sydney Neuroimaging Analysis Centre (SNAC), located at the University of Sydney, Brain and Mind Centre, is one of six companies with promising digital health solutions that will share in up to $3.75 million in funding to bridge crucial research gaps. 

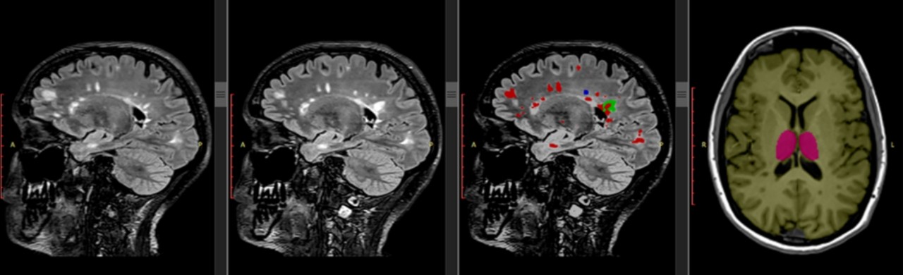
SNAC is one of the world’s largest imaging providers using artificial intelligence to better monitor brain disease with its state-of-the-art facilities. 

iQ-Solutions is SNAC’s flagship product which provides precise analysis of the brain through MRI imaging. It will give doctors a real-time view of any changes that can then be managed more readily.

It is challenging to turn a scientific discovery into a medical product that’s ready for clinical use. This is the case for many digital health technologies – like iQ-Solutions – which have the potential to transform the health system.

The ANDHealth+ program will provide us with tailored mentorship, access to industry leaders and substantive funding to bring our innovative suite of software-based medical devices to market, supporting both patients with disabling neurological conditions and the clinicians involved in their care.
Dr Michael Barnett (Chief Research Officer, SNAC)
Officials standing in a group, welcomed to a facility

MS Base Imaging Repository

In 2020, SNAC alongside the Computational Neuroimaging research team headed by Professor Michael Barnett and Dr Chenyu Wang launched MS Base Imaging Repository (MSBIR), the world’s largest MS Imaging repository. MSBIR uses iQ-Solutions to better enable researchers and clinicans around the world to asccess the imaging repository for research purposes. This global access helps enable research in dementia and MS.

The Government announced its plan to invest $20 million to commercialise digital health research, taking it from the lab and putting it in the hands of patients and their health team. For the Sydney Neuroimaging Analysis Centre (SNAC) this will go towards their mission to in using artificial intelligence to unlock the secrets of neurological disorders like multiple sclerosis and dementia.

ANDHealth+

ANDHealth+ works with small to medium companies through the early-stage development of technologies with commercial potential.
 
To realise the potential of Australia’s world-class digital health research, ANDHealth+ received $19.75 million through the Medical Research Future Fund’s (MRFF) Medical Research Commercialisation initiative.

MS brain scan

Related articles